【成果介绍】
照相设备的小型化数字化已经改变了人们的生活,但是显微和望远设备还停留在专业仪器或者纯光学仪器阶段。本技术通过技术创新和产品创意,在消费影像和医学检测领域普及显微和望远产品。通过非球面透镜组和光机电集成技术,将显微镜缩小至摄像头大小,实现了显微成像的移动数字化。微型显微镜尺寸在毫米到厘米量级,内部集成了透镜组、滤光片、对焦机构、传感器等一系列元件,分辨率可达0.5微米,成本不到传统显微镜的10%。兼容明场、暗场、荧光等各种成像模式。


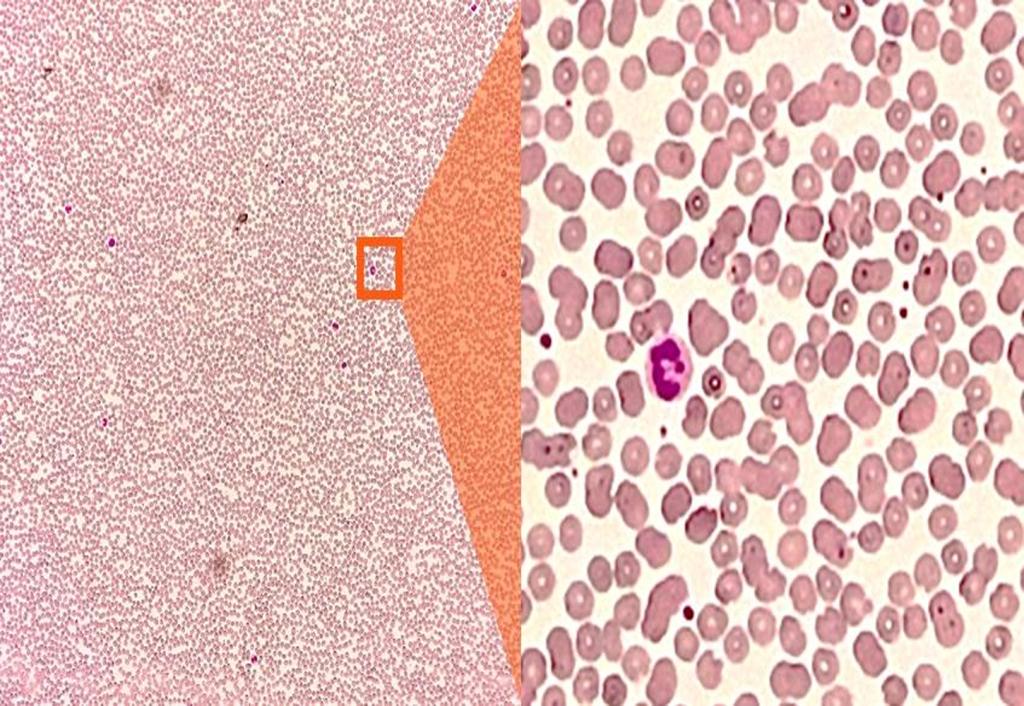
血液涂片检测示例
【技术优势】
本技术率先提出基于非球面的显微成像系统设计,同时结合微型化的照明与运动控制,实现了微型化、低成本、高性能、数字化的完整显微成像方案,且具备良好的可量产性,成本远低于传统显微镜。非常适合便携式的生物医学检测设备,将显微镜的概念从仪器变为传感器。
【应用场景】
生物医学检测领域应用前景广阔,例如细胞病理检测、组织病理检测、真菌检测、血细胞检测、尿有形成分分析等。
【市场前景】
该系统具备可量产性,工艺成熟。成果转化产品已成功量产10万枚以上。显微镜的全球市场体量为每年百亿美元,微型显微镜可以对大量传统显微镜构成直接替代。同时,微型化极有可能进一步创造百亿甚至千亿级的新生态和新应用。
【知识产权】
该成果已申请多项中国发明专利,下表是部分展示:

【合作方式】
技术开发、技术服务、技术许可、技术转让、作价入股、面谈等
【专家介绍】

胡庆磊,华中科技大学武汉光电国家研究中心生物医学光子学功能实验室博士后,8年显微光学研究经验。负责的该项目获得了第七届中国国际“互联网+”大学生创新创业大赛湖北省复赛高教主赛道金奖排位赛冠军。
【联系方式】
